Установка коронок по доступным ценам в Казани

Запишитесь на консультацию стоматолога по акции

Нажимая на кнопку, вы даете согласие на обработку персональных данных и соглашаетесь c политикой конфиденциальности
Приходите на консультацию, на которой врач проведёт осмотр, расскажет о состоянии ваших зубов и рассчитает точную стоимость лечения.
Чтобы воспользоваться акцией, укажите ваше имя и телефон в форме ниже. Администратор позвонит вам и подберёт удобное время для консультации.
Стоимость: 500 ₽ 2000 ₽ до конца месяца.

Циркониевые коронки

Прочный материал,
срок службы более 20 лет
Коронки из циркония представляют собой сверхпрочные безметалловые ортопедические конструкции. Материал отличается насыщенным белоснежным цветом, средней прозрачностью и повышенной твердостью.
Прием горячей и холодной пищи не вызывает дискомфорта
Не отличить от настоящих зубов
Безопасно, не вызывает аллергических реакций
безопасно, не вызывает аллергических реакций.
не отличить от настоящих зубов;
прочный материал,
срок службы более 20 лет;
прием горячей и холодной пищи не вызывает дискомфорта;

Металлокерамические коронки

В основе металлокерамической коронки — каркас из металла, имеющий высокие показатели прочности и безопасности. Верхний слой выполнен из керамики, оттенок которой подобран под цвет натуральной зубной эмали пациента.
Срок службы более 7 лет
Поверхность выполнена из керамики,
а основание из прочного металла
Высокая прочность, устойчивость к повышенным жевательным нагрузкам
Долгое время сохраняет первоначальный цвет
Поверхность выполнена из керамики,
а основание из прочного металла
Долгое время сохраняет первоначальный цвет
Срок службы более 7 лет
Высокая прочность, устойчивость к повышенным жевательным нагрузкам

Этапы лечения

Перед каждым протезированием мы проводим полное обследование у нас в клинике. После чего составляется комплексный план лечения.
Лечение зуба
Врач лечит кариес, пульпит, убирает налет. Чтобы инфекция не развивалась под коронкой, нужно очистить и запломбировать каналы.
Снятие слепка
Врач устанавливает культевую вкладку, штифт или имплант. С установленной основы снимает оттиск для изготовления постоянного протеза.
Примерка
Коронку примеряют на зуб и проверяют, удобно ли пациенту. При необходимости коронка корректируется и дорабатывается.
Установка коронки
Коронки фиксируются при помощи стоматологического цемента, обеспечивающего плотное надёжное крепление.
1
2
3
4
Установка коронок в 4 этапа за 1-2 дня
Нажимая на кнопку, вы даете согласие на обработку персональных данных и соглашаетесь c политикой конфиденциальности
Ответьте на вопросы и узнайте стоимость
Заполните поля ниже, чтобы врач составил для вас план лечения и рассчитал ориентировочную стоимость установки коронок.

Лечение зубов в рассрочку

Условия рассрочки:
— сроком до 6 месяцев;
— беспроцентная;
— возможны индивидуальные условия.
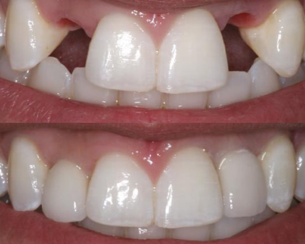
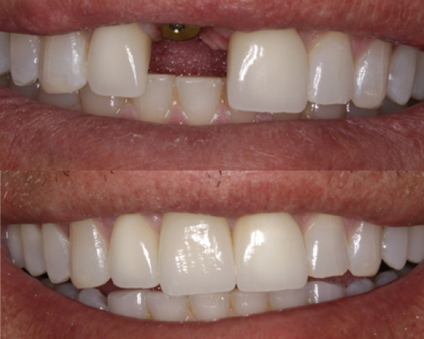
Наши врачи установили более 300 коронок
До
После
Попов Олег Сергеевич — 38 лет
Установка металлокерамических коронок
Смелова Анастасия Григорьевна — 35 лет
Установка циркониевых коронок
До
После
Каратунова Юлия Сергеевна — 31 год
Установка металлокерамической коронки
До
После
Лебедева Виктория Олеговна — 36 лет
Установка циркониевых коронок
До
После
Гусев Дмитрий Олегович — 49 лет
Установка металлокерамических коронок
До
После
Колпакова Анна Михайловна — 40 лет
Установка циркониевых коронок
До
После
Made on
Tilda